Ez a blog negyedik gyermekünk, Rita fejlődését hivatott követni, aki súlyos agyi fejlődési rendellenességgel jött a világra. Corpus callosum hiány, agykamra tágulatok, fejletlen kisagy, és egy óriási ciszta, ami gátolta az agy fejlődését. Dandy Walker malformáció. Azért határoztam el, hogy a feljegyzéseket közzéteszem, hogy mindenki lássa, hogy
CSODÁK
még vannak

2011. április 27., szerda

RITA 1 ÉVES!!!!!!!!!!!!!!!!!!!!!!!

Éljen éljen éljen soká kicsi Rita baba!!!!!

Boldog 1 éves születésnapot!!!

Rita első képe pár perccel a születése után már inkubátorban:



Hihetetlen sok dolog történ ez alatt az egy év alatt. Néha nehéz volt, de más emberek lettünk. És szerintem ezzel nem csak mi vagyunk így. Ez a kislány nagyon sok emberre hatással van. Ahogy a Korai fejlesztőben a neurológus doktornő mondta, "ennek a kislánynak küldetése van...".

Ez az első videó róla. Húzza ki az oxigént az orrából. Próbálkozását siker koronázza. Már akkor ilyen küzdő gyerek volt. "Nem kell az nekem, anélkül is tudok élni" ...És tudott!!...Nem is tették vissza.




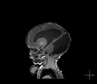
Mellékelek 2 MR felvételt, amit pár naposan készítettek a kicsi buborékfejről...Itt látszik, hogy nem akármennyire üres a kicsi lány feje. ( a sötétszürke a víz) És ennek ellenére így fejlődik!!!!Mindenki döntse el magában, hogy csoda történt, történik,  vagy sem!!!:-)




Hogy most mi van a buksiban, nem tudom, azóta nem csináltak róla MR-t, hála a 2 óriási kutacsának. Innen kukucskálnak be a buksiba ultrahanggal. A shunt műtétek óta a ciszta jóval kisebb lett, a kamra tágulatok is mentek össze. Az agyállomány meg szépen növekszik...Ha tényleg ennyire semmi gond nem lesz a shuntjével, mint az októberi csere óta, akkor üsse-kő...Legyen shunt-ös gyerek. Majd nem kap mágneses játékot..Végül is ez a csoda kis szerkezet mentette meg az életét. 


Hogy mit is tud így 1 évesen, korrigált 10 és fél hónaposan?Aki rendszeresen követi a blogot, annak nem lesz sok újdonság,  de jó így összegezni:

  • Négykézláb szabályosan, gyorsan közlekedik (kicsit még a lábai szétállnak, de már nem vészes)
  • Akárhova képes feltérdelve felkapaszkodni, és onnan már legtöbbször sikerül visszaereszkedni négykézlábra.
  • Pápá, tapsi, paccs-paccs, puszi, szavakat érti, és csinálja, ha kérjük tőle.
  • Ma először, mikor megkérdeztem tőle hol a baba, megkereste. Elé tettem egy labdát, és egy babát, és kérésre mindig a megfelelőt fogta meg...Szóval már a labdát is érti. :-)
  • Hol a cipőd? Felhúzza a lábát, és megcsócsálja a cipőjét!!
  • Mondja: pápá, a-pu, baba
  • Kapaszkodva már nagyon ügyesen megül, szeret hintázni
  • Hihetetlen életvidám, nevetős baba, aki nagyon tud küzdeni. Múltkor valami akadályon mászott át, először elég ügyetlenül és lassan. Ahogy nagy nehezen sikerült átmásznia, megfordult, és még egyszer megpróbálta. 10 percig ostromolta az akadályt, és a végén már se-perc alatt átmászott rajta. Hihetetlen küzdő szellem van ebben a kislányban.




14 megjegyzés:

  1. Isten éltesse Ritát! De hát élteti is, még hogy! :)

    VálaszTörlés
  2. :) Boldog szülinapot Rita babának!!! Igazi küzdő szellem le a kalappal előtte!! :D

    VálaszTörlés
  3. Nagyon boldog 1. és még sok-sok boldog szülinapot ennek a kicsi lánynak!!! Ritus, hajrá, csak így tovább, bevallom elpityeredtem ezen a bejegyzésen... :)) Fantasztikus!
    Enikő, nektek pedig sok örömet, kitartást, erőt hozzá!!!
    Puszi nektek!

    VálaszTörlés
  4. Isten éltessen Ritus!!!!!!

    VálaszTörlés
  5. Isten éltesse ezt a kis csodalányt még nagyon sokáig! Sok-sok boldogságot apró és nagy csodákat kívánok nektek az életben!

    VálaszTörlés
  6. A JóIsten áldjon meg Te kicsi lány és éltessen még sokáig szüleid és sok-sok ember örömére jó egészségben, boldogságban, szeretetben! Nöjél jó nagyra, hazudtoljál meg minden orvosi elörejelzést, ezt kívánom és kérem neked tiszta szívböl :)

    VálaszTörlés
  7. Nem is láttam még az MR felvételt. Nemhiába imádkoznak a fiúk naponta érte:"hogy a kis Ritának fejlődjön ki az agya." Orsi

    VálaszTörlés
  8. Kedves Enikő!

    Rendszeresen olvasom a blogodat, nagy hatással volt és van is rám minden bejegyzésed, átértékeltem magamban sok mindent.
    Ritusnak csodálatos édesanyja vagy.

    A kicsi egy évesnek pedig sok sok boldogságot kivánok, és örülök, hogy ilyen kis csodababa, még sokra fogja vinni az életben, abban biztos vagyok.
    Nelli

    VálaszTörlés
  9. Isten éltesse az egyéves nagylányt!

    Üdvözlettel,Judit

    VálaszTörlés
  10. Isten éltesse ezt az egy éves Rita babát!
    Méghogy csodák nincsenek????Itt az élő példa Ritus!:-)
    Sok-sok örömet és további kacagást a családnak!
    Anikó

    VálaszTörlés
  11. Egy ideje olvaslak és csodállak Benneteket. Szívből örülök a Csodának és nagyon boldog születésnapokat kívánok Nektek. Azt hiszem sok-sok mindenki meríthet az erőtökből, én is igyekszem. Szeretettel...

    VálaszTörlés
  12. Kicsit lemaradva, de nagyon boldog szülinapot Ritának! Nektek pedig sok türelmet és hitet, hogy a szürkébb, kevésbé csodás, fárasztó napokon se fogyjatok ki belőle!
    Bandi

    VálaszTörlés
  13. Én most találtam rá a blogodra, és sírtam mikor olvastam a történeteteket. A JóIsten éltesse sokáig ezt a CSODA kislányt!!!

    VálaszTörlés
  14. Igen vannak csodák, a jó Isten mindig megsegít, csak hinni kell és bízni.

    VálaszTörlés